Le programme IMPULSION : Implémentation du dépistage du cancer pulmonaire par scanner en population
Conduit sous la forme d’une recherche RIPH2 (recherche à faible risque impliquant la personne humaine), il est promu par l’Assistance Publique–Hôpitaux de Paris. Ce programme vise à valider les conditions nécessaires à la mise en place d’un futur dépistage organisé, en mobilisant pleinement la communauté radiologique.
Il sera présenté à l’occasion d’une séance dédiée le Vendredi 3 octobre, de 14h00 à 15h30, à l’Amphi bleu.
Bref historique du dépistage
Le dépistage du cancer du poumon a longtemps été freiné par l’échec du Mayo Lung Project dans les années 1970, qui utilisait la radiographie thoracique. Ce n’est qu’en 1999 que Claudia Henschke (Cornell University) relance le débat avec l’étude ELCAP, montrant qu’un scanner thoracique à faible dose permet de détecter des cancers à un stade précoce. Malgré des critiques méthodologiques, cette étude a ouvert la voie au National Lung Screening Trial, un essai randomisé mené sur plus de 54 000 participants. Il a démontré une réduction de 20 % de la mortalité spécifique dans le groupe dépisté. Toutefois, le taux élevé de faux positifs (24 %) a conduit la HAS à émettre un avis initialement défavorable en 2016. Ce dernier a été révisé en 2022, à la lumière des résultats de plusieurs études européennes, notamment l’étude NELSON, qui a confirmé le bénéfice médical du dépistage tout en limitant les faux positifs à 1,2 %, grâce à l’évaluation du temps de doublement volumique des nodules. Les preuves scientifiques ont conduit le Conseil européen, fin 2022, à encourager les États membres à mettre en place des programmes pilotes.
Quels sont les objectifs de cette recherche ?
L’objectif principal d’IMPULSION est d’estimer le taux de détection du cancer du poumon, attendu autour de 1,5 %, chez des personnes âgées de 50 à 74 ans, avec une consommation de tabac d’au moins 20 paquets-années, toujours active ou sevrée depuis moins de 15 ans. L’inclusion de 20 000 participants assurera une estimation précise. Parmi les objectifs secondaires, la pertinence d’une double lecture radiologique et son alternative, le recours à l’intelligence artificielle comme deuxième lecteur seront testées en début de programme, dans la mesure où l’étude CASCADE dont c’est l’objectif principal n’a pas encore ses résultats définitifs. Le programme IMPULSION doit également évaluer le taux de faux positifs, les complications résultant de l’exploration des nodules suspects, qui sont des éléments très importants pour vérifier que le dépistage ne nuit pas à des individus qui sont a priori indemnes de maladie.

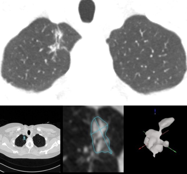
Figure : Adénocarcinome pT1b du lobe supérieur droit détecté par IA.
Comment ce programme va-t-il se déployer ?
La difficulté par rapport aux autres dépistages est l’identification des individus éligibles fonction du calcul des paquets-année. Le repérage des participants passera par un site internet, un centre d’appel dédié (3433) et la mobilisation des médecins généralistes. Plusieurs stratégies seront testées pour assurer l’équité d’accès, en impliquant les médecins du travail, les centres de santé de l’Assurance Maladie, les pharmaciens et les centres régionaux de coordination du dépistage des cancers (CRCDCs). Chaque région comptera une dizaine de centres hospitaliers et libéraux, dont les radiologues auront suivi la formation au dépistage SFR/Forcomed, avant un déploiement plus large, hors recherche. Les participants toujours fumeurs seront soutenus dans une démarche de sevrage, sauf opposition de leur part et bénéficieront de deux scanners à 1 an d’intervalle, puis d’un troisième scanner deux ans plus tard si les deux premiers sont négatifs. Les recommandations de la société Européenne d’Imagerie Thoracique seront suivies pour qualifier le dépistage de négatif, positif ou indéterminé. Le programme sera aussi l’occasion de valider un protocole « ultra basse dose » visant à réduire l’irradiation au niveau d’une radiographie standard de face et de profil.
Nous devons aujourd’hui faire la démonstration qu’il est possible de déployer ce dépistage en population générale avec la même rigueur, la même qualité et les mêmes bénéfices que ceux observés dans les grandes études internationales.
Marie-pierre REVEL, Co investigatrice principale du programme IMPULSION
Guillaume CHASSAGNON, Président de la Société d’Imagerie Thoracique
Hôpital Cochin, Paris