LI-RADS : Quelles combinaisons de critères majeurs sont les plus utiles ? - Le LI-RADS peut-il diagnostiquer le CHC chez les patients sans cirrhose et sans hépatite virale B ?

Auteur(s)
Pilier du diagnostic non invasif du carcinome hépatocellulaire, le LI-RADS repose sur des critères majeurs dont les combinaisons sont utilisées quotidiennement en pratique. Pourtant, la contribution diagnostique respective de ces associations reste discutée, notamment aux frontières entre les catégories. Des travaux récents viennent préciser la performance réelle de ces combinaisons et interrogent l’applicabilité du LI-RADS au-delà de sa population cible historique.
Pilier du diagnostic non invasif du carcinome hépatocellulaire, le LI-RADS repose sur des critères majeurs dont les combinaisons sont utilisées quotidiennement en pratique. Pourtant, la contribution diagnostique respective de ces associations reste discutée, notamment aux frontières entre les catégories. Des travaux récents viennent préciser la performance réelle de ces combinaisons et interrogent l’applicabilité du LI-RADS au-delà de sa population cible historique.

LI-RADS : Quelles combinaisons de critères majeurs sont les plus utiles ? 
 
Si l'imagerie joue un rôle central dans le diagnostic non invasif du CHC, le poids relatif des différentes combinaisons de critères majeurs selon le LI-RADS reste mal connu. La méta-analyse de données individuelles de Adamo et al. (46 études, 6765 patients avec 7500 lésions analysées) a évalué la performance diagnostique de différentes combinaisons des critères majeurs du LI-RADS v2018 en scanner et IRM. De manière attendue, la valeur prédictive positive (VPP) des différentes catégories LI-RADS augmentait de LR-3 (58,28 % - IC95 % : 44,00–71,29) à LR-5 (95,81 % - IC95 % : 91,06–98,09). De manière notable, la majorité des combinaisons de critères majeurs présentaient des VPP similaires au sein d’une même catégorie, ce qui soutient la validité de la catégorisation actuelle.

Cependant, certaines combinaisons présentaient des VPP trop faibles, notamment, parmi les LR-4, les lésions ≥ 20 mm sans hyper-rehaussement artériel mais avec une capsule rehaussée (50,81 % - IC95% : 28,92–72,39 et, parmi les LR-5, les lésions de 10–19 mm avec hyper-rehaussement artériel sans lavage ou capsule mais présentant une augmentation de taille (74,40 % (IC95% : 51,06–89,00). Au final, cette méta-analyse montre que la plupart des combinaisons de critères majeurs appartenant à une même catégorie LI-RADS CT/IRM ont des valeurs prédictives positives similaires pour le diagnostic de CHC chez les patients à haut risque, à l’exception de quelques combinaisons au sein des catégories LR-3 à LR-5. 

Adamo L, Elsayes KM, Chernyak V et al. Diagnostic performance of CT/MRI LI-RADS v2018 major feature combinations : Individual or composite feature interpretation? Radiology. 2025. 

Pour aller plus loin : 
LI-RADS v2018 Manual [https://www.acr.org/Clinical-Resources/Reporting-and-Data-Systems/LI-RADS] 

 

Le LI-RADS peut-il diagnostiquer le CHC chez les patients sans cirrhose et sans hépatite virale B ? 
 
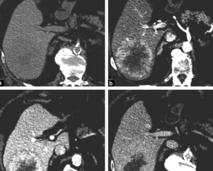
Le système LI-RADS est conçu pour diagnostiquer le carcinome hépatocellulaire (CHC) chez les patients à haut risque, incluant classiquement ceux ayant une cirrhose ou une hépatite virale B chronique. Cette étude sud-coréenne s’intéresse à un sous-groupe bien précis : les patients atteints d’hépatite virale C chronique sans cirrhose. 
En analysant rétrospectivement 458 patients (âge moyen : 64 ± 9 ans; 350 hommes ; 219 sans cirrhose, 239 avec cirrhose), les auteurs ont montré que chez les patients sans cirrhose, la catégorie LR-5 avait une AUC de 0,90 (IC95 % : 0,86–0,93), une exactitude (accuracy) de 85,1 % (IC 95 % : 80,6–89,7) et une spécificité de 97,6 % (IC 95 % : 93,0–100,0). Il est d'ailleurs notable que l’AUC pour le diagnostic de CHC les lésions classées LR-5 était significativement plus élevée dans le groupe sans cirrhose que dans celui avec cirrhose (AUC : 0,90 [IC 95 % : 0,86–0,93] vs 0,79 [IC 95 % : 0,74–0,84] ; p = 0,002). La performance diagnostique de la catégorie LR-5 était également excellente dans la cohorte de validation, qui incluait 155 lésions chez 103 patients. Cette étude suggère donc que la performance diagnostique de la catégorie LR-5 pour le diagnostic du CHC chez les patients atteints d’hépatite virale C chronique mais non cirrhotique est similaire à celle observée chez les patients cirrhotiques. 

An C, Kim MJ, Lee JY, et al. LI-RADS for Diagnosing Hepatocellular Carcinoma in Patients with Noncirrhotic Chronic Hepatitis C. Radiology. 2025.