Intelligence artificielle et imagerie oncologique : retour d’expérience à l’ECR

Auteur(s)
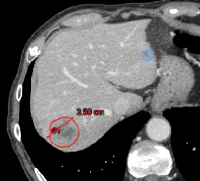
Capture d’écran 1 Article SFR retour d'expérience ECR.png
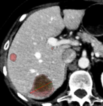
Capture d’écran 2 Article SFR retour d'expérience ECR.png

L’intelligence artificielle (IA) s’impose aujourd’hui comme l’un des moteurs majeurs de transformation de la radiologie. Participer à l’European Congress of Radiology (ECR) permet de mesurer concrètement l’ampleur de cette évolution. Entre les sessions scientifiques, les conférences éducatives et les nombreuses solutions présentées par les industriels, l’IA est désormais omniprésente dans les discussions autour de l’avenir de notre discipline. Dans ce contexte, j’ai eu l’opportunité d’y présenter un poster consacré à l’utilisation de l’intelligence artificielle pour la mesure automatisée des métastases hépatiques au scanner.

Ce travail s’intéresse à une problématique très concrète de la pratique quotidienne en imagerie oncologique : la mesure des lésions tumorales. En pratique clinique, l’évaluation de la réponse aux traitements repose largement sur les critères RECIST, qui utilisent le diamètre maximal des lésions cibles pour apprécier l’évolution de la maladie. Ces mesures, pourtant centrales dans la prise en charge des patients, restent aujourd’hui réalisées manuellement par les radiologues. Or, plusieurs études ont montré qu’elles peuvent présenter une variabilité entre lecteurs, notamment selon l’expérience du radiologue ou la morphologie des lésions.

Dans ce contexte, l’objectif de notre étude était d’évaluer un outil d’intelligence artificielle capable de segmenter automatiquement les métastases hépatiques au scanner et d’en extraire différentes mesures, notamment les diamètres compatibles avec les critères RECIST. Nous avons comparé ces mesures à celles réalisées par des radiologues ayant différents niveaux d’expertise afin d’en analyser la concordance et la variabilité.

Les résultats montrent que les diamètres mesurés automatiquement par l’IA sont très proches de ceux obtenus par les radiologues et, surtout, qu’ils se situent dans l’intervalle de variabilité habituellement observé entre lecteurs. Autrement dit, l’intelligence artificielle ne semble pas introduire de variabilité supplémentaire, mais reproduit plutôt les dynamiques de mesure observées entre radiologues. Ces résultats suggèrent que ces outils pourraient contribuer à standardiser les mesures utilisées pour le suivi des patients en oncologie tout en simplifiant certaines étapes du workflow.

Au-delà de l’aspect technique, l’automatisation des mesures RECIST pourrait avoir un impact clinique réel. Le suivi des patients oncologiques repose souvent sur la comparaison d’examens réalisés sur de longues périodes et parfois interprétés par différents radiologues. La reproductibilité des mesures devient alors essentielle pour éviter des variations d’interprétation susceptibles d’influencer l’évaluation de la réponse thérapeutique. Des outils capables de segmenter automatiquement les lésions et de proposer des mesures standardisées pourraient ainsi contribuer à harmoniser ces évaluations. À l’échelle d’un service ou d’un réseau hospitalier, cela pourrait également faciliter les discussions multidisciplinaires, notamment lors des réunions de concertation pluridisciplinaire.

Présenter ce travail à l’ECR a également permis de le replacer dans une dynamique plus large. L’un des aspects les plus marquants du congrès était la maturité croissante des outils d’intelligence artificielle appliqués à la segmentation des organes et des lésions. En imagerie hépatique, ces technologies sont déjà explorées non seulement pour des applications diagnostiques, mais aussi en radiologie interventionnelle. La segmentation du foie et des lésions peut par exemple faciliter la planification des procédures, améliorer le guidage des gestes percutanés et contribuer à une meilleure précision lors de biopsies ou de traitements loco-régionaux.

Dans ce contexte, l’automatisation des mesures RECIST apparaît comme une évolution logique. Si la segmentation devient de plus en plus robuste et intégrée aux logiciels de visualisation, l’extraction automatique de mesures standardisées pourrait rapidement devenir une fonctionnalité attendue dans les outils de lecture en oncologie. L’objectif n’est pas de remplacer le radiologue, mais d’automatiser certaines tâches répétitives afin de libérer du temps pour l’analyse globale des examens et la prise de décision clinique.

Ainsi, l’ECR illustre une transformation progressive de la radiologie. L’intelligence artificielle ne se limite plus à un domaine de recherche émergent : elle s’intègre désormais dans de nombreux outils et workflows. L’enjeu des prochaines années sera de réussir l’intégration de ces technologies dans la pratique quotidienne afin qu’elles deviennent de véritables assistants du radiologue, au service de la qualité et de l’efficacité de la prise en charge des patients.