Évaluation d’un protocole IRM abrégé pour le dépistage des métastases cérébrales lors du bilan initial du cancer du poumon

Objectifs :

Le cancer du poumon constitue la première cause de mortalité par cancer dans le monde. La présence de métastases, en particulier cérébrales, est un facteur pronostique majeur. L’IRM cérébrale est l’examen de référence pour leur détection, mais son accessibilité peut être limitée. Dans ce contexte, l’utilisation de protocoles abrégés pourrait permettre d’améliorer l’accès. L’objectif de notre étude est d’étudier les performances diagnostiques d’un protocole raccourci d’IRM cérébrale dans la détection des métastases cérébrales.

 

Matériel et méthode

L'étude est rétrospective monocentrique incluant 54 patients bénéficiant d’une IRM dans le bilan d’extension initial. Deux sessions de relecture espacées de quatre semaines ont été menées :

-Protocole court simulé: 3D T2 FLAIR et post-injection 3D T1w-SE

-Protocole long (figure 1): DWI, T2*, 3D T2 FLAIR, T1 natif et après injection 3D T1w-GRE et 3D T1w-SE.

Les images ont été analysées indépendamment par quatre lecteurs : deux neuroradiologues seniors et deux juniors, en aveugle de toutes données cliniques. En cas de désaccord, une lecture de consensus entre neuroradiologues servait de référence.

Deux types d’analyses ont été réalisés. L’analyse par patient consistait à analyser la présence d’au moins une métastase ; et une analyse par lésion, permettant une évaluation plus précise de la détection des métastases.

Les performances diagnostiques ont été évaluées par la sensibilité, la spécificité, la valeur prédictive positive et négative. L’accord inter-observateur a été mesuré par le coefficient de Fleiss Kappa et la concordance quantitative par le coefficient de corrélation intraclasse (ICC). Un test d’équivalence de Wilcoxon TOST (d de Cohen de 0.2) a été utilisé pour déterminer si le protocole court était non inférieur au protocole standard.

 

Résultats :

La population finale comprenait 54 patients avec un âge moyen de 66 ans. La majorité des examens (79,4 %) ont été réalisés sur IRM 3T. La majorité étaient des adénocarcinomes (n = 25). Plus de la moitié des patients présentaient une maladie métastatique au diagnostic (stade IV dans 53,7 % des cas), la majorité asymptomatiques.

Au total, 119 métastases cérébrales ont été identifiées chez 19 patients (35 %), dont 8 présentaient une lésion unique. La majorité des lésions (58,8 %) mesuraient moins de 5 mm. Le temps moyen d’interprétation des 54 examens était de 267 minutes pour les radiologues juniors et de 147 minutes pour les seniors avec le protocole standard. Avec le protocole court, ces durées diminuaient légèrement à 246 et 139 minutes respectivement.

Les performances diagnostiques de l’analyse par patient (tableau 1) du protocole court étaient excellentes : sensibilité de 100 %, spécificité de 91,4 % et exactitude de 94 %. L’accord pour le nombre de lésions était également excellent (ICC = 0,988). Les performances restaient bonnes chez les radiologues juniors, bien que la spécificité du lecteur le moins expérimenté soit plus faible (71,4 %). Le test d’équivalence a confirmé l’absence de différence significative entre les deux protocoles.

Dans l’analyse par lésion, la sensibilité du protocole court était de 90,5 %, la spécificité de 97,3 % et un ICC de 0,968.

 

Discussion :

Nous avons montré que les performances diagnostiques d’un protocole court sont similaires par rapport au protocole standard actuellement en vigueur. Aucun patient porteur de métastases n’a été classé à tort comme négatif avec ce protocole.

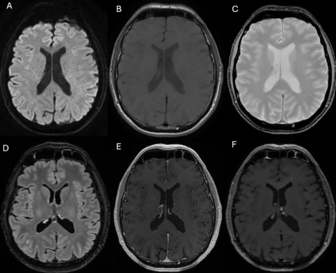
La séquence 3D T1w-SE a été privilégiée par rapport à la séquence 3D T1w-GRE en raison de son meilleur contraste après injection de gadolinium, permettant une détection plus sensible des métastases cérébrales, notamment des lésions de petite taille (figure 2).

L’utilisation de ce protocole permet de réduire le temps d’acquisition, passant d’environ 25 minutes à environ 7 minutes.

Cependant, certaines lésions non tumorales, telles que des anomalies vasculaires ou ischémiques, sont néanmoins mieux détectées avec le protocole complet.

De plus, l’étude présente plusieurs limites, notamment son caractère rétrospectif, monocentrique et la taille relativement limitée de l’échantillon.

 

Conclusion :

Un protocole court est une alternative viable pour la détection des métastases cérébrales du cancer du poumon.

Figure 1.png

Séquences axiales du protocole standard : diffusion pondérée (b = 1000) (A), T1 pondérée sans injection (B), T2* (C), reconstruction axiale 3D-FLAIR avec suppression de la graisse (D), et séquences T1 pondérées après injection 3D en écho de gradient (T1w-GRE) (E) et en écho de spin (T1w-SE) (F).

Figure 2.png

Ces métastases punctiformes supra- et infratentorielles (flèches) étaient difficiles à détecter sur les séquences T1 pondérées en écho de gradient après injection (T1w-GRE) (A et C), tandis que leur détection était nettement plus aisée sur les séquences T1 pondérées en écho de spin après injection (T1w-SE) (B et D)

Tableau 1.png

Précision diagnostique du protocole court par patient avec IC 95%. Cons L1 :consensus lecture protocole court ; Cons L2 : consensus lecture protocole long ; L1 : lecture 1, protocole court ; VPP : Valeur prédictive positive ; VPN : Valeur prédictive négative ; IC95% : Intervalle de confiance à 95% ; ICC : corrélation intra-classe ; * : p<10-6